IgG4是什么意思
有来医生
igg4是什么意思
王涛主任医师蚌埠市蚌埠医学院第一附属医院
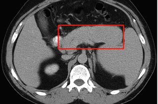
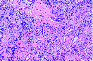
[最佳答案] IgG4相关疾病是一种自身免疫病。这种病主要是由于炎性纤维化,可以造成多个器官和系统的器官肿大组织破坏,甚至是器官功能衰竭。由于这种疾病血清当中的IgG4水平升高,所以以此命名。这类疾病通常会有1个或多个器官肿大。病理学会显示有淋巴细胞和浆细胞的浸润以及纤维化。治疗上以激素治疗为主,同时可以加用免疫抑制剂,比如硫唑嘌呤,吗替麦考酚酯,环磷酰胺等等。
有来医生
IgG4相关性疾病是什么病
有来医生
什么是IgG4相关性疾病
有来医生
一文了解 IgG4 相关性疾病(上) 丁香园
rheum.dxy.cn
IgG4相关性疾病是什么
有来医生
没有更多结果了~
- 意见反馈
- 页面反馈