龋齿
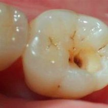
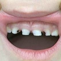
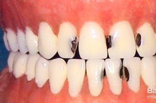
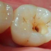
简介:龋齿(拼音:qǔ chǐ, dental caries) 俗称蛀牙或虫牙,是牙体组织被龋蚀,逐渐毁坏崩解,形成龋洞的一种 口腔疾病,是口腔的常见病和多发病。龋齿是继 感冒后最常见的疾病,是导致 脱牙的主要原因之一。龋齿是细菌性疾病,因此它可以继发 牙髓炎和 根尖周炎,甚至能引起 牙槽骨和 颌骨炎症。龋齿的继发感染可以形成病灶,致成或加得 关节炎...
A+医学百科
龋齿的公立医院专家语音解读
-
龋齿是什么意思
龋齿就是常说的虫牙或者是蛀牙。龋齿通常是由于细菌感染引起的,在发作的时候会出现牙齿疼痛以及牙龈红肿的现象,有可能会继发感染牙髓炎或者是根尖周炎。如果出...1人收听
韦祖印 副主任医师 云浮市人民医院 口腔科
-
龋齿是什么?
龋齿也叫蛀牙,龋齿是由于细菌在牙体上滋生,腐蚀牙齿之后形成龋洞。这样有龋洞的牙齿叫龋齿,也叫蛀牙。龋齿被龋坏的面积比较大,出现牙神经的外露,还需要对这个龋...40476人收听
孙亚蕾 副主任医师 扬州市中医院 口腔科
-
龋齿跟蛀牙区别是什么
龋齿也就是蛀牙,是没有什么区别。龋齿是医学上的用名,而蛀牙也就是我们对龋齿的俗称,性质是一样。龋齿一般是由于口腔卫生不良,我们每次进食后,口腔中的细菌会和...3088人收听
赵如玲 副主任医师 长治医学院附属和济医院 口腔修复科
龋齿
我要问医生
10万权威医生在线
没有更多结果了~
- 意见反馈
- 页面反馈
