家国永念|仰望 英魂 忠烈 不语
手机搜狐
#人生低谷时,你是怎么熬过来的?#沉默低调,坚强努力…!
全红婵赛后发文遭差评,本人一句话回怼!网友:拒绝内耗.近日,跳水世界杯第二站加拿大温莎站落幕,中国梦之队斩获8金3银1铜。赛后,全红婵晒出18宫格照片,分享队员们的日常,并配文:那咋了这就破...
今日头条
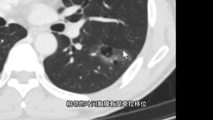
500例有结果的肺结节CT分享第187例,混合型磨玻璃肺肿块 网易公开课
500例有结果的肺结节CT分享第187例,混合型磨玻璃肺肿块。听TED演讲,看国内、国际名校好课,就在网易公开课 登录/注册 已购课程个人中心 已购课程优惠券我的收藏播放记录我的证书墙内容中...
网易公开课网址
善与恶的融合 #米塔
看见更大的世界! 推荐上海 视频财经科技热点国际更多 军事体育娱乐历史美食直播旅游懂车帝展开善与恶的融合 #米塔 播放187发布于2024-12-18 19:40 下载今日头条APP扫码下载今日头条 三言...
今日头条
无语了。
美国总统特朗普在白宫召开内阁会议后也不得不承认,其关税政策和贸易战可能将会导致商店里货架更空,商品价格更高,特别是玩具店。美国总统 特朗普:有人说,货架会空空如也。国际在线5评论14...
今日头条
没有更多结果了~
- 意见反馈
- 页面反馈