补牙
360百科
查看更多
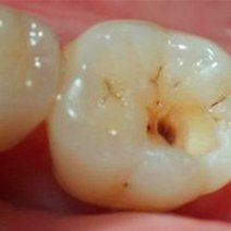
龋齿 补牙的过程
- 1. 首先我们要进行窝洞制备,制备窝洞的目的主要为是除净腐坏组织,全面去除病菌,同时建立良好的固位形和抗力形,以免充填体折断、脱落和不密合而造成继发龋。
- 2. 其次进行补牙材料的填充,在进行补牙材料填充时,应隔离唾液,消毒窝洞,调配充填材料填入窝洞中,雕刻外形,要注意除去超过咬合面过高的部分,以免造成医源性的咬合创伤。
- 3. 接着要对补牙面的抛光处理,同时及时将残留在口腔内的残渣及时的清除,以防凝固。 补牙
百度经验
没有更多结果了~
- 意见反馈
- 页面反馈

