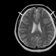
血管源性脑水肿的基本发病机制是微血管通透性增高.正常血脑屏障只容许一些小分子溶质通过,因脑毛细血管通透性很低,基外周几乎被星形胶质细胞终足所包围,后者被视为血脑屏障的组成部分(第...
蛛网膜下腔出血
帕金森病
偏瘫
吉兰巴雷综合征
风湿性心脏病
脊髓损伤
电解质紊乱
中风
脑积水
心力衰竭
脑损伤
多发性硬化
重症肌无力
脑水肿是指脑内水分增加、导致脑容积增大的病理现象,是脑组织对各种致病因素的反应。可致颅内高压,损伤脑组织,临床上常见于神经系统疾病,如颅脑外伤,颅内感染(脑炎,脑膜炎等),脑血管疾病,颅...
360良医医典查看更多
脑水肿
低颅压性头痛
心脏损伤
运动神经元损伤
心肌炎
脑缺血
任克氏水肿
小脑出血
胆心综合征
慢性硬膜下血肿
脑脊液
颅内压升高
娃哈哈营养快线
景筠主任医师
神经内科首都医科大学附属北京同仁医院
脑水肿是脑内水分异常增多致脑容积增大源于液体平衡失衡,血脑屏障受损等引发血管源性脑水肿(多由脑肿瘤、脑外伤等致血脑屏障破坏,病变在白质范围较广),脑缺血缺...
脑水肿的原因有哪些?有问必答网脑水肿疾病查询频道为您解答脑水肿是怎么引起的,1、颅脑损伤各类颅脑损伤,直接或间接地造成脑挫裂伤都能引起脑水肿,并发颅内血肿,使局部脑组织受压也可引...