正在搜索、分析、总结中...
脑动脉瘤的公立医院专家语音解读
-
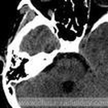
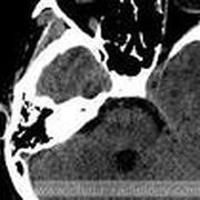
脑动脉瘤是什么
脑动脉瘤是颅内动脉血管的异常瘤状突起。脑动脉瘤不破裂,一般病人没有明显症状,如果破裂出血,常表现为蛛网膜下腔出血,病人可以出现剧烈的头痛,恶心呕吐,甚至出现...11216人收听
代福存 主治医师 济南市中西医结合医院 神经外科
-
脑动脉瘤是什么
脑动脉瘤,一般是属于一种良性的肿瘤,主要生长在脑部动脉的部位。如果不及时进行治疗处理,后期容易产生有动脉瘤破裂的现象,从而会诱发脑出血,通常情况会比较严重...1人收听
文军 副主任医师 暨南大学附属第一医院 神经外科
-
脑动脉瘤是什么引起的
可以导致患者发生脑动脉瘤的原因有很多,首先占绝大部分的还是先天性的因素,目前考虑很可能与遗传因素相关。另外,就是属于后天获得性的,比如说,脑动脉硬化导致患...2551人收听
丛伶男 主治医师 蓬莱市中医医院 中医科
脑动脉瘤
我要问医生
10万权威医生在线
脑动脉瘤- 5.0共21页
- 数字减影血管造影技术,颅内动脉瘤介入治疗,湘雅护理学院,颅内动脉瘤,颅内动脉瘤系指脑动脉壁的异常膨出部分,是引起自发性蛛网膜下腔出血的最常见原因。病因-尚不甚清楚,但以先天性动脉瘤占大部分。任何年龄可
脑动脉瘤- 5.0共11页
- 颅内动脉瘤介入治疗的护理,主讲人杨鑫,。,一、概述颅内动脉瘤时由于局部血管异常改变产生的脑血管样突起。其主要症状多由出血引起,部分因瘤提压迫,动脉痉挛及栓塞造成。,,,,,,,,,,,,二、颅内动脉瘤介入适应症和禁忌症适应症、几乎所有的动脉
脑动脉瘤- 5.0共14页
- 动瘤DavidSLiebeskind1引1.1景动瘤是有破倾向的管结构的病理性局灶性扩张。些管异常常根据假定的病因分类。囊状、浆果状或先天性动瘤占全动瘤的90
脑动脉瘤相关知识- 5.0共4页
- 脑动脉瘤相关知识脑动脉瘤简单说就是脑动脉血管壁上膨出的血管泡,血管泡在血液不间断的冲击下,就象吹气球一样,球吹得越大,血管壁就变得越薄,血管也就越容易破裂。一般认为
360文库
没有更多结果了~
- 意见反馈
- 页面反馈
