胸片的公立医院专家语音解读
-
胸片是什么
胸片是影像学检查中的必备检查项目之一,因为其简单、方便操作的优势已经成为了日常临床工作中的首选检查。它可以帮助诊断出典型的肺部感染、肺结核以及肺部的...70250人收听
宾俊杰 副主任医师 惠州市第三人民医院 医学影像科
-
胸片怎么看
学会看胸片是临床医生必备的技能之一,首先,看胸壁的X线表现,观察胸壁软组织有大的肿块,有皮下积液、积气,同时观察肋骨的连续性是否有中断,这是肋骨骨折的X线征象...73227人收听
陆小河 副主任医师 马鞍山市人民医院 胸心外科
-
胸片怎么看
在临床上胸部X光片检查是常用的一种检查方法,它是利用X线产生图像,从而观察胸部的病变。胸片的观察需要按一定的顺序,一般可以按照从上往下的顺序,观察双肺上叶...1人收听
许兆忠 副主任医师 南方医科大学珠江医院 急诊科
胸片
我要问医生
10万权威医生在线
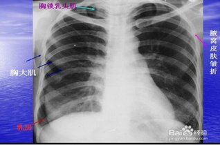
胸片是什么
胸片就是普通x线胸部平片,一般都是拍胸部正位片。胸部正位片主要显示的是两侧的肺野,心影轮廓大小,胸椎,以及肋骨。作为影像科普通的检查,方便、快捷,为临床科室解决了许多常见的问题。比如...
有来医生
没有更多结果了~
- 意见反馈
- 页面反馈
