白肺的公立医院专家语音解读
-
白肺是什么意思
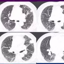
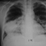
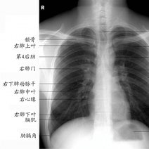
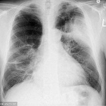
白肺的意思是指胸片、CT上发现正常肺组织透X线是黑色,只有心脏和大血管是白色,但是由于各种疾病、各种致病因素,导致两肺野呈大片的密度增高,出现白色的阴影,就...47600人收听
宋志芳 主任医师 上海交通大学医学院附属新华医院 呼吸内科
-
白肺是什么意思
白肺一般是指重症肺炎在X光检查下的表现,肺部呈现一大片的白色状态而闻名。形成白肺一般都预示着肺部被炎症所广泛浸润,引起白肺的病因往往非常复杂,并且来势凶...28117人收听
张鸿 主任医师 首都医科大学附属北京朝阳医院 呼吸与危重症学科
-
白肺是什么意思
白肺是指患者在X光胸片检查或者肺部CT检查中,肺部间质组织呈现大片状白色状病变的表现。白肺的症状表现多发生于重症肺炎,因为肺部间质组织持续性受到病毒、细...60057人收听
尚愚 副主任医师 哈尔滨市第一医院 呼吸科
白肺
我要问医生
10万权威医生在线
白肺 百度百科
白肺(White lung)是一种临床综合症,其特征是重度肺炎患者的肺部积累了大量渗出物,影响多个肺叶,使肺部影像学检查呈现出大范围的白色区域。病因多为新型冠状病毒感染、细菌性肺炎、中东呼吸...
bkso.baidu.com
白肺是什么意思?什么叫白肺?-中华网河南
henan.china.com
白肺是什么意思
有来医生
白肺是什么
有来医生
白肺是可以治愈的吗
原庆主任医师首都医科大学附属北京中医医院
[最佳答案] 白肺是放射学名词,所谓白肺是指胸片或者CT上弥漫的高密度影,使得片子看不到肺纹理。导致白肺发生的原因很多,常见的大叶性肺炎、肺水肿,或者是病毒性肺炎比如SARS,以及流感、病毒引起的肺炎都会导致白肺。 至于能不能治愈要根据疾病的不同来决定, 白肺是放射学名词,所谓白肺是指胸片或者CT上弥漫的高密度影,使得片子看不到肺...
有来医生
白肺症状及治疗方案 360文库
5页发布时间:2021年11月17日
白肺症状及治疗方案1.白肺症状简介及病因白肺是一种常见的肺部疾病,又被称为白塞病或肺泡蛋白质沉积症。其主要病因是肺部受到损害,导致肺组织中蛋白质沉积,影响正常呼吸功能。白肺症状包括
wenku.so.com
白肺的产生和治疗方案 360文库
4页发布时间:2021年11月17日
产生:白肺是一种常见的肺部疾病,通常是由细菌感染引起的。暴露在细菌性感染源,如病人、空气中的细菌等环境中,人体的免疫系统受到损害,细菌便会进入肺部并繁殖,导致白肺的发生。治疗方案:一、治疗目标1.清除体内感染细菌2.缓解
wenku.so.com
没有更多结果了~
- 意见反馈
- 页面反馈