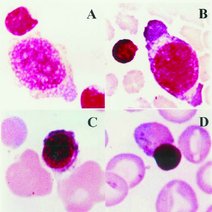
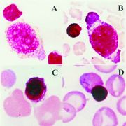
[最佳答案] 干细胞是具有增殖和分化潜能的细胞,具有自我更新复制的能力,能够产生高度分化的功能细胞。简单的说,干细胞是原始的细胞,是能够形成人类各种器官组织的原始细胞。 从干细胞的特性来说,干细胞可以变成人体想要的各种器官,比如心脏出现问题,可以应用干细胞在体外培育出一个新的心脏,然后可以将老心脏进行替换,这样人体的功能就会恢复正常,而因为换了新心脏,所以功能就会明显改善,患者的症状也会改善。但这只是人类对于干细胞所寄存的希望而已,目前干细胞技术不是很成熟,需要科学的研究,进一步推广,使其能更好的向前发展。