奥齿泰
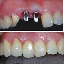
奥齿泰是一种牙齿种植体,专为即刻种植、即刻负重戴牙而设计的全新一代种植体,也是目前符合东方人颌面特性的种植体;其种植方式是将高档金属经过精密的电脑设计,制造成牙根型的圆柱体,经由手术植入牙床骨内,经过4到6个月后,当人工牙根与牙床骨密合后,再在人工牙根上制作假牙。
h5inapp.soyoung.com
种植牙科普篇 韩国奥齿泰种植体 知乎
知乎专栏
韩国奥齿泰种植牙质量怎么样?种奥齿泰后悔难道是质量不好 前沿技术 ...
kelete.com
没有更多结果了~
- 意见反馈
- 页面反馈