正在搜索、分析、总结中...
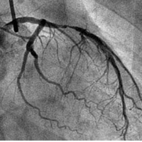
冠脉造影
360百科
查看更多
什么是冠脉造影?
有来医生
冠状动脉造影- 5.0共7页
- 冠状动脉造影编辑锁定本词条由好大夫在线提供内容并参与编辑,袁晋青,主任医师,阜外心血管病医院冠心病诊治中心陈珏,主任医师,阜外心血管病医院冠心病诊治中心谭晓燕,副主任医师,阜外心血管病医院冠心病诊治中心冠状动脉造影是诊断冠状动脉粥样硬化性心
冠脉造影- 5.0共3页
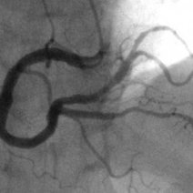
- 冠心病已经成为现代社会危及人类健康的主疾病,并且有步年化的势。在去,冠心病的断主依临床症状,心电图,B等助检查,发生的几率大。80年代以来冠影的开展使冠心病的断治疗上了
冠脉造影- 5.0共4页
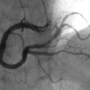
- 章2管影概怎样移动影机有目的性地影如何做冠影从AP位开始右前斜和正位、位在LM病变时的两个view技术点如何充分暴LCX如何移开LCX充分暴LAD如何有目的地暴LAD为了
冠脉造影- 4.6共22页
- 贵州省人民医院,心内二病房实习护生小讲课2013年11月01日,冠状动脉造影术的护理,时 间:2013年11月02日地 点:心内二病房主 讲 人:李 蕾指导老师:谢 艳 吴 漫 张 慧贵州医科大学护理
360文库
什么是冠脉造影
有来医生
什么是冠脉造影术
有来医生
没有更多结果了~
- 意见反馈
- 页面反馈






