正在搜索、分析、总结中...
冠状动脉造影怎么做 有问必答 快速问医生
有问必答网
冠状动脉造影怎么做- 4.0共2页
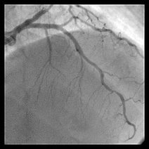
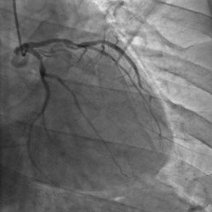
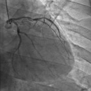
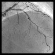
- 冠状动影怎么做一、冠状动影怎么做二、冠状动术前准备三、冠状动影注意事冠状动影怎么做1、冠状动影怎么做冠影检查是目前唯一直接察冠状动形态的方法,号称冠心病断的标准
冠状动脉造影手术过程- 5.0共8页
- 冠状动脉造影手术过程,一,冠脉造影的适应症冠脉造影的主要目的是明确有无冠状动脉疾病,选择治疗方案和判断预后,有心绞痛症状的患者,尤其是药物治疗无效或者通过无创检查发现有高危因素的患者应行冠状动脉造影术,对拟形瓣膜性心脏病或先天性心脏病手术的
手把手教你做冠脉造影- 5.0共3页
- 手把手教你做冠影现段,冠状动影仍然是冠心病断的手段,为实现今天做影,明天就上班的安全、准确,熟练掌握冠状动影技术是中之。作|大军孔令秋来源|孔瘦本期,我们用步步为
冠状动脉造影术的操作技巧- 4.8共8页
- 冠状动脉造影术的操作技巧姓名:考号:一、单选题(共10题)1在进行冠状动脉造影术时,正确的导管插入位置是A股动脉B股静脉C静脉D动脉2冠状动脉造影术中最常用的造影剂是什么A生理盐水B碘对比剂C葡萄糖D肝素3在进行冠状动脉造影术时,导管推进的技巧是什么A快速推进,避免损伤血管B缓慢推进,避免损伤血管C逆时针旋转推进
360文库
没有更多结果了~
- 意见反馈
- 页面反馈






